Medical






歯科金属を使わない入れ歯は、歯科金属による金属アレルギー・金属イオンによる体内汚染を起こさない
だけでなく、透明性があり審美的です!
治療症例を詳しく見る

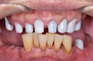
バネ式入れ歯は歯(支台歯)にバネをかけて入れ歯を固定して使用します。
テレスコープデンチャーはバネではなく、支台歯に内冠を装着し、入れ歯側の外冠を内冠にしっかりとはめることで入れ歯を固定します。
茶筒(内冠)に蓋(外冠)をしたり、万年筆(内冠)にキャップ(外冠)をするイメージをしていただくと、テレスコープデンチャーの安定感をイメージしやすいかと思います。



動揺のある歯に入れ歯のバネをかけると、ゆさぶりの力がかかり歯周病の進行が加速して歯の寿命を縮めます。
バネ式の入れ歯で物を噛むと、バネをかけている歯(支台歯)に咀嚼力(揺さぶり)による負担が伝わります。バネ式入れ歯による揺さぶりの力は支台歯の歯周組織に負担をかけて、歯周病を進行させて抜歯へと繋がります。
実は入れ歯は物を噛むための装置(プラスの面)ですが、歯を抜くための装置(マイナスの面)ともいえるのです。
入れ歯のバネをかけた歯が揺さぶられて歯を支える骨が無くなり抜歯となり、新たに次の他の歯にバネをかけるとその歯にも負担がかかり、新しい支台歯も抜歯となって欠損歯数が増えていきます。そうして入れ歯がだんだん大きくなって(総義歯へと近づいて)いくのです。
このような理由から重度歯周病の歯に対してバネ式入れ歯はお勧めできません。
修理が容易
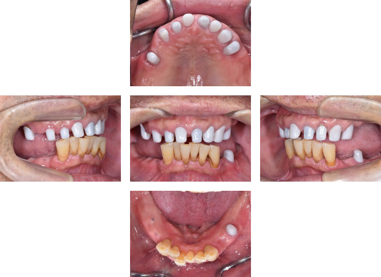
テレスコープデンチャーを外した時

テレスコープデンチャーを装着した時



歯周病で歯が揺れているので噛めない状態。
連続冠を接着剤で(強固に)固定して噛めるようにした。

しっかり噛めるようになり、審美性も改善!
しかし、接着剤で強固に固定されているために歯の生理的な動揺が失われて、脳脊髄液の流れが妨げられてしまった。
息苦しい、頭痛、その他の全身の
つらい症状など、身体に不調が!
(個人差があります)

バネによる
支台歯への揺さぶりの力

入れ歯の力がダイレクトかつ
垂直に支台歯に伝わる








内冠を装着することでシンプルな形態となり清掃しやすくなるため、
歯肉が炎症を起こしにくく歯周組織が健全に保たれます。


予後不良な歯(例えば、歯質が薄いために破折しそうな歯など)を
支台歯に用いることで、
歯を保護する作用があり、もし抜歯となっても容易に修理ができます。

片側(右側)下顎のテレスコープデンチャーを長年使用していた。
内冠を装着していた支台歯が破折したため内冠ごと支台歯を抜歯。
相当する外冠の内面をレジンで埋め修理。

片側(右側)下顎のテレスコープデンチャーを支える支台歯が減ったために、反対側(左側)の下顎のテレスコープデンチャー(メタルプレート付)を作製。

レーザーろう着を用いることでレジン(樹脂)の部分に熱を加えずに、古いテレスコープデンチャー(下顎右側)と新しいテレスコープデンチャー(下顎左側)の結合ができる。古いテレスコープデンチャーのレジン(樹脂)はそのまま使用できる。
今までと噛み合わせや装着感が変わらない!

完成!
バネを使わないため審美的です。

部分入れ歯

テレスコープデンチャー


冠が被せてある歯は既に削っているので、現在の冠を外して内冠を被せなおせばすみます。しかし、全く削っていない白い歯(天然歯)を内冠を被せて支台歯として用いるためには、歯を削る勇気と決断が要ります。これは患者さんの選択です。
削らないことにこだわりバネ式入れ歯を選択した場合、バネ式入れ歯のバネの支台となって、入れ歯の着脱の度・咀嚼の度に揺さぶりの力がかかり、抜歯へと近づいていきます。
予後不良(支える骨が減って動揺しているなど)なきれいな歯(天然歯)をあえて削ることで、「歯冠歯根比が改善される」「固定されることで歯にかかる負担が激減される」「歯周組織にプラスとなる生理的刺激を得られるようになり、歯の寿命が延びる」「審美性を取り戻す」「噛み心地もよく快適になる」という利点もあります。
利点と欠点を天秤にかけて検討して下さい。
失活歯と神経(歯髄)が生きていない歯(根管治療を施した歯、根管治療前の歯髄が壊死した歯など)は身体の健康に良くないということがヨーロッパを中心に海外では広まってきてきています。
日本の歯科医療では歯(噛むこと)を中心に診る歯科医療なので噛むために失活歯もできるだけ残すようにします。
海外では歯のことは勿論ですが、全身の健康を考慮した歯科医療(全身歯科医療)が広まっているので全身歯科医療の観点から失活歯を抜歯する選択肢もあります。
失活歯の全身への害とは?

メリットの多い金属を使わないノンメタルのテレスコープデンチャーですが、欠点もあります。
中垣歯科医院では複数の素材のテレスコープデンチャー治療を行っています。
それぞれの素材の特徴をご説明し、患者さんのご希望を伺いながら、
適切な素材を選んでいきます。






内冠を入れることで、
しっかりとした装着感を得られます

バネのない入れ歯のため見栄えも良く
奥歯まで真っ白です
